2017.11.13
前歯にすきっ歯があると、本来白い歯が並ぶべき場所の一部が暗く見え、第一印象を気にして治療に踏み切る方が多いです。
すきっ歯とは、隣り合う歯と歯の間に隙間がある歯列を指し、空隙歯列(くうげきしれつ)とも言います。
今回は前歯にすきっ歯があり、軽度のオープンバイト(開咬:上下の前歯が咬み合わない)と軽度の出っ歯になっていた方が部分矯正で治療した症例を紹介します。
奥歯にもズレがあったため、本来であれば、前歯も奥歯も矯正する「全顎矯正」が理想的ではありましたが、治療期間や費用等の負担が大きいことから、前歯だけを矯正する「部分矯正」を選んだ症例です。
すきっ歯の部分矯正治療前写真
すきっ歯の矯正後写真(正面)
すきっ歯の矯正前写真(下から)
すきっ歯の矯正後写真(下から)
すきっ歯の矯正前写真(咬合面)
すきっ歯の矯正後写真(咬合面)
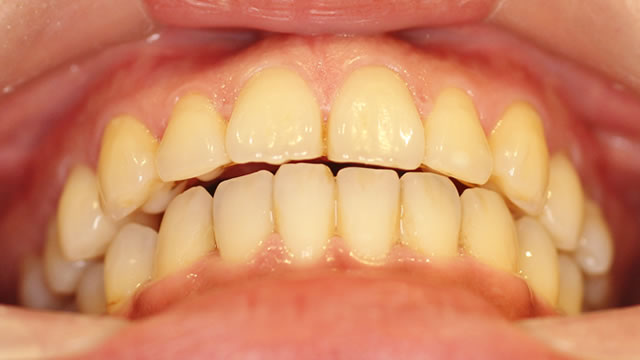
初診時のお口を見ると、上下前歯の正面に空隙があり、「正中離開」と言われるすきっ歯でした。

すきっ歯の矯正前写真(正面)
さらに、横顔を見ると、上下の前歯が前方に傾いてしまい、軽度の出っ歯になっていました。

すきっ歯の矯正前写真(横顔)
今回の症例になった原因の一旦には、舌癖(舌で歯を押し出す習慣)が考えられます。結果として、上下の前歯が噛み合わない軽度の開咬(オープンバイト)と言われる症状になっていました。
また、奥歯にもズレがあり、それが原因で左右の正中ズレが起きていると考えられます。
このような状態のすきっ歯を治すことは、矯正治療として難しくありません。通常の部分矯正で治すことが可能です。
しかし本症例に関しては、以下の2点において治療の完成度が低くなってしまう点をお話ししました。(部分矯正のデメリット)
・左右の正中ズレをしっかり治す
奥歯にズレがあるため、前歯を動かす部分矯正での治療には限界がありました。
・上下前歯の咬合をしっかり治す
オープンバイト(開咬)やディープバイト(過蓋咬合)などを治療するには、歯の上下的な位置をコントロールするのですが、部分矯正では難しいです。完全に良好な咬み合わせを作るためには、全顎矯正が望ましいです。
これらの部分矯正のデメリットを踏まえた上で、患者さまには全顎矯正と部分矯正を検討してもらった結果、全顎矯正は部分矯正の2倍近くの費用がかかることなどのり理由から、部分矯正で治療を進めることになりました。
上下前歯に矯正装置をつけて動かしていきます。
上下の前歯にあったすきっ歯は綺麗に閉じ、出っ歯のようになっていた前歯の傾斜もしっかり変化しました。
部分矯正では奥歯を動かさないため、元々奥歯にズレがある本ケースで上下正中の完全一致は難しいです。しかし、治療前と比べると上下の正中は改善しました(治療後写真をご覧ください)
動的な矯正治療は5か月で完了し、その後保定に入ります。保定は、動かした歯を固定するための期間です。治療前のお口の状態から、「舌癖」という歯を舌で押し出す習慣が、歯がより前方に広がってしまった原因の一つと考えられ、通常2、3年程度の保定期間ですが、本症例に関しては長期的な保定が重要な症例になります。
せっかく治療した後でも「舌癖」が継続すれば、歯並びが悪化・後戻りしてしまうことが考えられます。極論を言えば、舌癖が治らないようであれば、半永久的に保定が必要になります。
本症例では、長期的に保定を行い、しっかりメンテナスをしていきます。
| 患者様の属性 | 20代 |
|---|---|
| 矯正期間 | 5か月 |
| 矯正装置の種類 | 裏側矯正 |
| 矯正装置の料金(税別) | 65万円 |
| 処置料(税別) | 8,000円 |