2017.09.13
一般的に前歯の前突(出っ歯)を矯正する場合、非抜歯で行うため、多少の改善しか見込めません。したがって、前突の程度が著しいケースでは、全顎矯正による治療が理想的ではありますが、治療にかかる期間も費用も負担が大きくなることは事実です。
本症例では、前歯前突の改善を部分矯正で行いたいとの患者さまのご希望を受け、左右1本ずつ抜歯して前歯の矯正を実施しました。
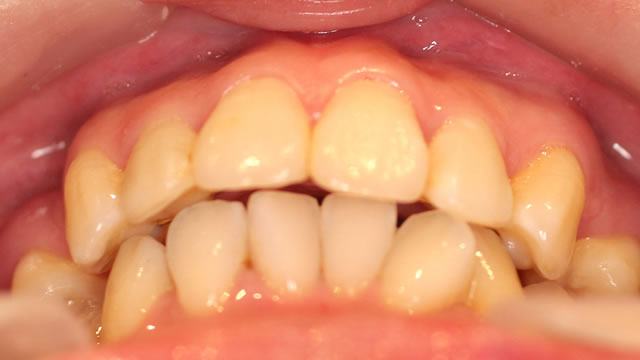
治療前・正面写真
矯正治療後・正面写真
治療前・下から
矯正治療後・下から
治療前・咬合面(上)
矯正治療後・咬合面(上)
患者様は前歯の前突(出っ歯)を部分矯正で治したいと来院されました。
実際にお口の状態をみると、奥歯を含めた歯列全体がガタガタになっていました。
理想的治療法は全顎矯正でしたが、費用にかかる期間・金銭面から考えて部分矯正で治療をご希望とのことでした。
通常の部分矯正で治療をするとなると、前突の改善が限定的なものになってしまいます。そこで、犬歯の1つ後ろの歯(図中4番の歯)を左右1本ずつ、合計2本抜歯する治療プランが考えられます。しかしその場合、抜歯によりできるスペースの完全な閉鎖ができない可能性が高く、治療のデメリットとして患者さまに伝えたところ、了承を得られましたので、治療を進めることになりました。

便宜抜歯(10,000円×2本、税別)を行い、舌側矯正(裏側矯正)での矯正を行いました。治療前の予想通り歯列は完全に閉鎖できませんでしたが、上前歯の前突を大幅に改善でき、患者様も満足そうでした。
本ケースでは、理想的な治療ではありませんでした。それでも、女性にとっての20代は人生でとても重要な時期。歯並びによるコンプレックスを抱えたまま過ごされるよりも、素敵な笑顔で日々を送っていただけることが、私たち矯正医としての喜びでもあります。
| 患者様の属性 | 20代女性 |
|---|---|
| 矯正期間 | 12ヶ月 |
| 矯正装置の種類 | 裏側矯正 |
| 矯正装置の料金(税別) | 450,000円 |
| 処置料(税別) | 6,000円 |