部分矯正の診察室

八重歯の部分矯正治療(抜歯なし) [no.018]


八重歯を矯正で治療する場合、抜歯をするケースが多いですが、今回は非抜歯で矯正治療したケースを紹介します。治療プランとしては抜歯する選択肢もありえましたので、それも詳しく紹介します。

八重歯の部分矯正治療(抜歯なし)

八重歯の部分矯正治療前(正面)

八重歯の部分矯正治療前(正面)

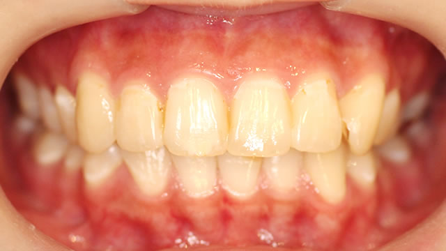
八重歯の部分矯正治療後(正面)

八重歯の部分矯正治療後(正面)

八重歯の部分矯正治療前(下から)

八重歯の部分矯正治療前(下から)

八重歯の部分矯正治療後(下から)

八重歯の部分矯正治療後(下から)

八重歯の部分矯正治療前(咬合面)

八重歯の部分矯正治療前(咬合面)

八重歯の部分矯正治療後(咬合面)

八重歯の部分矯正治療後(咬合面)

治療前の状態と患者さまのご要望

「八重歯が気になる」ということで来院した患者さまです。

目立たない矯正装置で、部分矯正をご希望でした。

治療プラン

治療プランとしましては、抜歯あり・なしの2プランが考えられました。

抜歯ありの治療プランは、八重歯の犬歯の1つ奥側の歯を抜く治療プランです。しかし、抜歯によりできたスペースを完全にクローズできない可能性がありました。

一方、抜歯なしの治療プランは、抜歯スペースを確保するために、上の歯列全体を前方に拡大することが必要でした。この患者さまに関しては、もともと歯が後ろ側に若干傾斜して生えていたため、前方への移動は問題ありませんでした。

顔貌や将来的なお口の健康を考え、抜歯なしの治療プランで進めることになりました。

矯正装置は患者さまのご希望により、目立たない歯の舌側につける裏側矯正装置をつけました。上の歯6本に装着します。

部分矯正治療の結果

八重歯である犬歯の向きや位置を変えることで、歯列が整いました。

今回のように、八重歯でも歯の重なりが少ないケースでは、抜歯なしで治療が可能な場合があります。

治療DATA

患者様の属性 20代女性
矯正期間 7か月
矯正装置の種類 上のみ・裏側矯正
矯正装置の料金(税別) 450,000円
処置料(税別) 7,000円
当院の矯正装置と費用 当院の治療の流れ

記事カテゴリー

部分矯正の基礎知識 矯正のリアル 矯正装置の紹介
出っ歯 歯並びの基礎知識 一覧

お役立ち情報や症例をCHECK

Instagram twitter

オススメの記事

  • すきっ歯、詰め物で治す?矯正で治す?

    2018.01.26

    「すきっ歯」を矯正治療で治すメリット・デメリット、費用や期間の比較

    部分矯正の基礎知識
  • 部分矯正のデメリット・よくある症例

    2017.07.5

    前歯だけ歯並びを治す部分矯正のメリット・デメリット、よくある症例紹介など

    歯並びの基礎知識部分矯正の基礎知識
  • “歯科矯正の見た目が気になる人必見!裏側矯正の実力とは”はロックされています。 歯科矯正の見た目が気になる人必見!裏側矯正の実力とは

    2017.05.22

    歯科矯正の見た目が気になる人必見!裏側矯正の実力とは

    矯正のリアル矯正装置の紹介
TEL03-6228-7107 友達追加
pagetop