2018.05.16
前歯全体が左右どちらかにズレてしまっている場合、前歯の中央(正中:せいちゅう)もずれてしまいます。結果として、お顔の印象まで歪んだようになってしまうケースがあります。
今回の症例は、上の前歯全体が右側にずれてしまっていたので、歯列を整えながら左へ移動しました。
八重歯などの要因もあわせて全顎矯正が望ましいケースではありましたが、治療にかかる期間や金額を考慮して、部分矯正で可能な範囲での治療となりました。
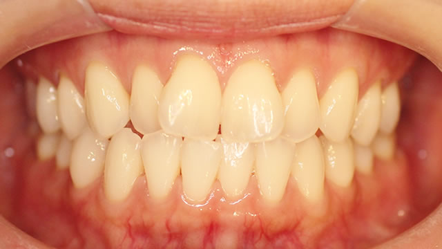
正中ずれ・反対咬合の治療前(正面)
正中ずれ・反対咬合の治療後(正面)
正中ずれ・反対咬合の治療前(下から)
正中ずれ・反対咬合の治療後(下から)
正中ずれ・反対咬合の治療前(咬合面・上)
正中ずれ・反対咬合の治療後(咬合面・上)
正中ずれ・反対咬合の治療前(咬合面・下)
正中ずれ・反対咬合の治療後(咬合面・下)
右上の八重歯、前歯の乱れ、お顔の正中ズレと歯の正中ズレを気にして来院されました。
また、前歯は通常上の歯が下の歯よりもわずかに唇側に出るのが理想的ですが、この症例ではそれが逆転してしまう反対咬合になっていました。
仮に、八重歯を部分矯正で治療する場合、八重歯または八重歯の1つ後ろの歯を抜くことになりますが、そうした場合、これまで以上に上の前歯全体が右にずれてしまうことになります。八重歯よりも前歯の正中の方が第一印象に影響すること、部分矯正での治療をご希望のことから、今回八重歯自体を動かすことは断念しました。
上の前歯については、全体を左側へ移動し、正中を可能な範囲で整えることとしました。
下の前歯については、上の歯とクロスしてしまっていること、歯が並ぶスペースが十分にないことから、下の前歯を1本抜いて、歯並びを整えてていきます。
下の歯の抜歯が終わった後、矯正を始めました。
矯正装置は、患者さまのご希望で
上・・・裏側矯正のワイヤー
下・・・表側矯正のワイヤー
となりました。
事前のプラン通り、上下ともに歯列が整い、上下の正中も整いました。
今回、部分矯正だったため、八重歯の治療はかないませんでしたが、一番目立つ前歯が整ったことで、大変満足されていました。
横顔の治療前後写真

治療前

治療後
| 患者様の属性 | 30代女性 |
|---|---|
| 矯正期間 | 7か月 |
| 矯正装置の種類 | 上下前歯部 コンビネーション(上裏 下表) |
| 矯正装置の料金(税別) | 550,000円 |
| 処置料(税別) | 6,000円 |