2017.10.27
部分矯正では治療が難しいと言われる、八重歯・出っ歯の症例です。
八重歯と出っ歯が併発していると、全顎矯正が必要だと思われがちですが、本症例では患者様が部分矯正での治療をご希望でしたので、部分矯正で可能な限りの治療を行いました。
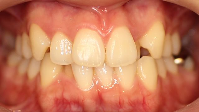
出っ歯・八重歯の矯正前(正面)
出っ歯・八重歯の矯正後(正面)
出っ歯・八重歯の矯正前(下から)
出っ歯・八重歯の矯正後(下から)
出っ歯・八重歯の矯正前(左から)
出っ歯・八重歯の矯正後(左から)
出っ歯・八重歯の治療前(咬合面)
出っ歯・八重歯の治療後(咬合面)
左上に八重歯、お口元全体の前突感(出っ歯)、上下歯列の乱れを改善したいと来院されました。 上下前歯の部分矯正、できれば非抜歯をご希望でした。 また挙式を半年後に控え、それまでにご自身の歯並びを良くしたいとのご希望でした。
実際、お口の中をみると、奥歯にもズレが見受けられ、理想的な治療法は全額矯正でした。しかし挙式が差し迫り、治療にかけられる期間や費用が限られていることから、部分矯正で治療をすることになりました。
患者さまは、子ども時代の経験から、抜歯を避けたいとのご希望がありました。しかし、矯正医としてお口をみると、抜歯せずに部分矯正をしたとしても、歯列が整うだけで、お口元の前突感を治すのは不可能でした。患者さまのご希望は前突感と八重歯を改善することでしたので、抜歯を勧めることになりました。
抜歯をするにあたり、患者さまのネックは「抜歯の痛み」でしたので、少し強い麻酔を紹介しました。静脈内鎮静法というもので、この方法で麻酔をすれば、意識が朦朧(もうろう)としている間に抜歯ができるというものです。患者さまもこれであればと納得していただいたので、抜歯をする治療プランを勧めることになりました。抜歯自体は紹介先の大学病院で処置しています。
矯正前に行う抜歯は、健康な歯を抜くことになりますので、当院では検討を重ねて決定します。本症例では、左上・左下・右上の4番目の歯(犬歯の1つ奥側の歯)合計3本。 ※右下は元々2番目の前歯が欠損していたため、抜歯はしていません。
なお、部分矯正で抜歯する際の注意点として、抜歯によりできたスペースを完全にクローズできない可能性があります。治療前にその説明をしてご了承いただけたので、抜歯する治療プランで進めることとなりました。
初診から挙式まで6か月しかありませんでした。
抜歯して、上顎に裏側矯正(舌側矯正)、下顎に表側矯正(唇側矯正)の矯正装置を着けて、可能な範囲で前突感と八重歯を治療します。挙式時は表側に着けた下顎の矯正装置を外して、挙式を迎えます。
短期間で目標通りに歯を動かすために、装置装着後、通常よりも頻繁に通院してもらい、様子をみながら治療を進めていくことにしました。
挙式後、下顎の装置を再装着して、微調整を行っていきます。
装置装着後はスムーズに歯が動いていき、6か月後には前突感も八重歯の存在感も大分小さくなりました。

挙式時(初診から6か月後)
また、お口元の前突感が改善されたため、横顔のEライン(エステティックライン)を見てみると大分理想に近づいたのがわかります。日本人女性はEラインの内側か線上にお口がくることが理想的とされています。治療前はEラインの外側にあった唇が、Eラインの線上に移動したことがわかります。

また、正面からみたお口元を比較すると、とても綺麗になったと思います。

抜歯スペースが完全にクローズできない可能性を治療前にお話しましたが、結果として下顎右下に1mmのスペースが残りました。残ったスペースについては、補綴で対応しています。
| 患者様の属性 | 20代女性 |
|---|---|
| 矯正期間 | 14ヵ月 |
| 矯正装置の種類 | 上:裏側矯正、下:表側矯正 |
| 矯正装置の料金(税別) | コンビネーション矯正(上が裏側矯正、下が表側矯正)70万円 挙式後に装置を再セットした費用5万円 |
| 処置料(税別) | ¥8,000 |