部分矯正の診察室

上下前歯の歯並びを部分矯正で治した症例 [no.013]


歯と歯の重なる量が多ければ多いほど、抜歯が必要だと思う方も多いのではないでしょうか。

今回は叢生量が中程度あり、他院でも抜歯を勧められたケースですが、当院で抜歯なしで部分矯正した症例を紹介します。

上下前歯のデコボコを部分矯正で治した症例

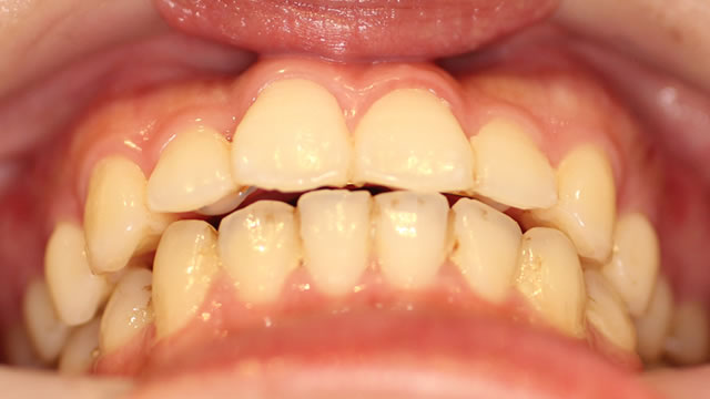
ウィンギング矯正治療前・正面写真

ウィンギング矯正治療前・正面写真

ウィンギング矯正治療後・正面写真

ウィンギング矯正治療後・正面写真

ウィンギング矯正治療前・下から

ウィンギング矯正治療前・下から

ウィンギング矯正治療後・下から

ウィンギング矯正治療後・下から

ウィンギング矯正治療前・咬合面(上)

ウィンギング矯正治療前・咬合面(上)

ウィンギング矯正治療後・咬合面(上)

ウィンギング矯正治療後・咬合面(上)

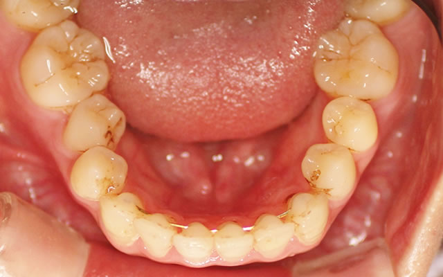
歯並び矯正治療前・咬合面(下)

歯並び矯正治療前・咬合面(下)

歯並び矯正治療後・咬合面(下)

歯並び矯正治療後・咬合面(下)

治療前の状態と患者さまのご要望

前歯の歯並びがガタガタしており、前突とウィンギング(正面の上前歯2本に角度がついて天使の翼のように見えること)が見られました。叢生(歯の重なっている様子)も中程度で見受けられ、他院で抜歯を勧められたのが妥当でもある状態でした。

患者さまのご要望は、抜歯をせずに前歯の部分矯正で治したいというものでした。

実際、お口をみると奥歯にも左右のずれが見受けられ、全顎矯正も選択肢としては考えられましたが、今回は部分矯正で進めることになりました。

治療プラン

非抜歯で前歯の部分矯正で治療をしていく上では、歯の動くスペースを確保することが課題でした。

歯の動くスペースを確保する手段として、ディスキングといって歯と歯のコンタクト面をわずかに削合することが一般的です。この患者さまは歯の1本1本が大きくてディスキングも十分にできたのですが、それでも十分なスペースは確保できませんでした。そこで、歯列をわずかに前方に拡大することで、非抜歯での部分矯正治療が可能になりました。

上下ともに歯の裏側(舌側)にワイヤーをつける裏側矯正で治療します。

奥歯のずれは修正できませんので、前歯の正中の一致は難しいと予測され、患者さまも了承の上、治療開始となりました。

部分矯正治療の結果

治療プラン通り前歯の位置や角度が動き、前歯の歯列が整いました。

わずかに前方に拡大した歯列も、歯槽骨の上にのり、自然な仕上がりになりました。

治療開始時から予測された正中の不一致は修正できませんでしたが、ズレをわずかに抑えることはできました。

治療DATA

患者様の属性 27歳女性
矯正期間 11カ月
矯正装置の種類 裏側矯正
矯正装置の料金(税別) 600,000円
処置料(税別) 8,000円
当院の矯正装置と費用 当院の治療の流れ

記事カテゴリー

部分矯正の基礎知識 矯正のリアル 矯正装置の紹介
出っ歯 歯並びの基礎知識 一覧

お役立ち情報や症例をCHECK

Instagram twitter

オススメの記事

  • すきっ歯、詰め物で治す?矯正で治す?

    2018.01.26

    「すきっ歯」を矯正治療で治すメリット・デメリット、費用や期間の比較

    部分矯正の基礎知識
  • 部分矯正のデメリット・よくある症例

    2017.07.5

    前歯だけ歯並びを治す部分矯正のメリット・デメリット、よくある症例紹介など

    歯並びの基礎知識部分矯正の基礎知識
  • “歯科矯正の見た目が気になる人必見!裏側矯正の実力とは”はロックされています。 歯科矯正の見た目が気になる人必見!裏側矯正の実力とは

    2017.05.22

    歯科矯正の見た目が気になる人必見!裏側矯正の実力とは

    矯正のリアル矯正装置の紹介
TEL03-6228-7107 友達追加
pagetop