部分矯正の診察室

上下叢生・舌側転移・ウィンギング [no.008]


20代男性の患者さまです。上下の前歯に叢生(歯並びガタガタ)が起きている状況でした。

上の前歯2本はウィンギングといって翼のように捻じれており、また右上の前歯下の歯とクロスして、舌側転移が起きていました。

上下叢生・舌側転移・ウィンギング(20代男性)

治療前・正面写真

治療前・正面写真

治療後・正面写真

治療後・正面写真

治療前・下から

治療前・下から

治療後・下から

治療後・下から

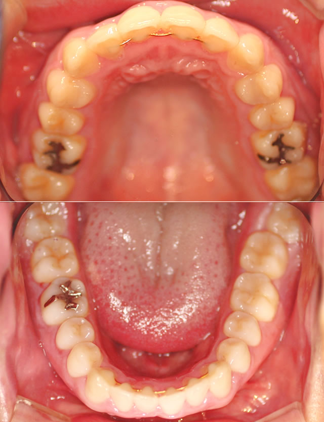
治療前・咬合面

治療前・咬合面

治療後・咬合面

治療後・咬合面

治療前の状態と患者さまのご要望

上前歯2本が捻じれて翼のようになり(ウィンギング)、右上前歯は舌側にずれて下の歯とクロスしていました。全体的に叢生量が大きく、理想を言えば全顎矯正が望ましい状況でした。

患者さまのご希望は、「前歯を整えたい」「装置は見えずに」「費用は抑えたいんで、全顎ではなく部分矯正で」というご希望でした。

このため、部分矯正の範囲内で前歯の歯並びを整えていく方向になりました。

治療プラン

上下前歯の部分矯正を行いました。

裏側矯正装置をつけ、10か月で治療後の結果が得られました。

部分矯正治療の結果

ウィンギングしていた上下前歯2本がそろい、正中線が綺麗にそろいました。

前歯の歯並びと咬合が改善し、患者様にご満足いただける結果になりました。

治療DATA

患者様の属性 20代男性
矯正期間 10か月
矯正装置の種類 裏側矯正
矯正装置の料金(税別) 650,000円
処置料(税別) 8,000円
当院の矯正装置と費用 当院の治療の流れ

記事カテゴリー

部分矯正の基礎知識 矯正のリアル 矯正装置の紹介
出っ歯 歯並びの基礎知識 一覧

お役立ち情報や症例をCHECK

Instagram twitter

オススメの記事

  • すきっ歯、詰め物で治す?矯正で治す?

    2018.01.26

    「すきっ歯」を矯正治療で治すメリット・デメリット、費用や期間の比較

    部分矯正の基礎知識
  • 部分矯正のデメリット・よくある症例

    2017.07.5

    前歯だけ歯並びを治す部分矯正のメリット・デメリット、よくある症例紹介など

    歯並びの基礎知識部分矯正の基礎知識
  • “歯科矯正の見た目が気になる人必見!裏側矯正の実力とは”はロックされています。 歯科矯正の見た目が気になる人必見!裏側矯正の実力とは

    2017.05.22

    歯科矯正の見た目が気になる人必見!裏側矯正の実力とは

    矯正のリアル矯正装置の紹介
TEL03-6228-7107 友達追加
pagetop