部分矯正の診察室

すきっ歯・出っ歯・過蓋咬合を部分矯正した症例[no.020]


前歯にすき間があると、とても気になる方が多いかと思います。今回は10代女性の方で前歯のすき間が比較的大きくてすきっ歯が目立ってしまっていた症例です。

同時に出っ歯や過顎咬合も見られましたが、部分矯正で治せるところまで治しました。

すきっ歯・出っ歯・過蓋咬合を部分矯正した症例

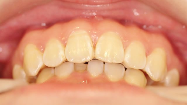
部分矯正前・正面写真

部分矯正前・正面写真

部分矯正後・正面写真

部分矯正後・正面写真

部分矯正前・下から

部分矯正前・下から

部分矯正後・下から

部分矯正後・下から

部分矯正前・横から

部分矯正前・横から

部分矯正後・横から

部分矯正後・横から

治療前の状態と患者さまのご要望

「とにかく出っ歯と隙間を治したい」と希望して、来院されました。お口の中を見ると、出っ歯やすきっ歯の他に、過顎咬合(上と下の歯の噛み合わせが深い、ディープバイト)も見られました。

また、下の前歯で小さな歯が1本ありますが、これは乳歯です。まれに先天的に乳歯が生え変わらない場合があります。

治療プラン

すき間が多くあったため、歯を動かすスペースが十分にあったので、ワイヤー矯正装置で歯を動かす治療プランとしました。表側・裏側どちらも治療が可能でしたが、患者さまのご希望で表側の矯正装置をつけました。

また、全顎矯正をすれば過顎咬合を治すことも可能でしたが、治療にかかる費用や期間などから、部分矯正で治療を進めることになりました。

さらに、乳歯は歯が小さいのでそれを大きくすることもできましたが、今回は患者様のご希望からそのまま動かしました。現時点では歯の根っこがしっかりしており、将来的にだめになってしまった場合は補綴治療で対応予定です。

部分矯正治療の結果

部分矯正した結果、隙間は完全になくなりました。また、歯列全体がお口の内側に入り込むように動いたので、前歯の前突もなくなりました。

治療DATA

患者様の属性 10代女性
矯正期間 8か月
矯正装置の種類 表側矯正
矯正装置の料金(税別) 40万円
処置料(税別) 5,000円
当院の矯正装置と費用 当院の治療の流れ

記事カテゴリー

部分矯正の基礎知識 矯正のリアル 矯正装置の紹介
出っ歯 歯並びの基礎知識 一覧

お役立ち情報や症例をCHECK

Instagram twitter

オススメの記事

  • すきっ歯、詰め物で治す?矯正で治す?

    2018.01.26

    「すきっ歯」を矯正治療で治すメリット・デメリット、費用や期間の比較

    部分矯正の基礎知識
  • 部分矯正のデメリット・よくある症例

    2017.07.5

    前歯だけ歯並びを治す部分矯正のメリット・デメリット、よくある症例紹介など

    歯並びの基礎知識部分矯正の基礎知識
  • “歯科矯正の見た目が気になる人必見!裏側矯正の実力とは”はロックされています。 歯科矯正の見た目が気になる人必見!裏側矯正の実力とは

    2017.05.22

    歯科矯正の見た目が気になる人必見!裏側矯正の実力とは

    矯正のリアル矯正装置の紹介
TEL03-6228-7107 友達追加
pagetop